Hip Displasia Dan Penanganannya        

Oleh: Drh. C. Koesharyono – Praktisi Hewan Kecil.

Menyambung tulisan penulis Juniarti Santoso,SS 93 Golden Retriever Kennel pada tanggal 21 April 2004 (Klik disini), tulisan saya ini merupakan pengalaman singkat tentang Hip Displasia dan cara penanganannya di dalam praktek. Istilah Hip Displasia mulai banyak dikenal orang (terutama para breeder dan penggemar anjing ras) sejak banyak anjing-anjing ras seperti Golden Retriever, Rottweiler, Labrador, German Shepperd dikembangbiakan di Indonesia.

Yang disebut Hip Displasia adalah perkembangan dari persendian pinggul (Coxo Femoralis) yang tidak normal. Hal tersebut dapat disebabkan oleh faktor keturunan (Genetik) dan juga dapat dipengaruhi faktor lingkungan, misalnya: ras, kecepatan pertumbuhan, cara memberi makanan, cara dan lamanya exercise, adanya kelainan (deformitas) dari tulang belakang (lumbo sacral), penyakit sumsum tulang belakang, trauma dan adanya kelainan persendian dari kaki depan.

 

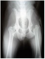
Gambar. Gambaran radiologi ventrodorsal persendian pinggul normal

 

Untuk mengetahui bahwa seekor anjing menderita Hip Displasia tidaklah mudah. Penentuan HD didasarkan atas beberapa hal, diantaranya ialah: Gejala klinis, pemeriksaan persendian Coxo Femoralis dengan menggunakan Foto Rontgen dan pemeriksaan DNA. Kebanyakan hewan anjing yang menderita Hip Displasia datang ke tempat praktek saya dengan keluhan pincang, malas berjalan atau melompat dan kesakitan apabila dipalpasi atau dirotasi daerah persendian pinggulnya.

 

 

 

1a. Gambaran ventrodorsal persendian pinggul normal.

1b. Gambaran ventrodorsal persendian pinggul yang menderita luksasi caput femoralis.

2. Gambaran radiologi ventrodorsal gambar 1.

 

Gejala Klinis

Hip Displasia pada anjing muda timbul pelan-pelan dimulai dengan adanya tanda-tanda DJD (Degenerative Joint Disease), sedangkan pada anjing dewasa timbul secara progresif. Persendian Coxo Femoralis geraknya mulai terbatas. Urat daging kaki belakang tampak mengecil (Atropi). Bagian kaki belakang tampak adanya perubahan bentuk misalnya bengkok. Anjing tidak mau melompat atau naik tangga. Ada tanda-tanda kifosis (melengkung) pada ke dua kaki belakang. Timbul rasa sakit bila kaki belakang dimanipulasi terutama posisi extension (diluruskan). Gejala klinis Hip Displasia yang akut sering timbul pada umur kurang dari 12 bulan ; sedangkan gejala-gejala yang kronis sering ditemukan pada hewan-hewan dewasa.

Ras hewan yang menderita Hip Displasia yang datang ke klinik hewan saya adalah: Golden Retriever, Rottweiler, German Shepperd dan Labrador. Adapun anjing ras sedang dan ras kecil ialah Samoyed dan Pekingese (kasus sedikit)

Cara Membuat Diagnosa HD:

  • Lihat gejala-gejala klinis (pincang, malas berjalan atau melompat)
  • Buat foto rontgen dari persendian pinggul (Coxo Femoralis) dengan posisi anjing terlentang ventro dorsal. Pada foto X’Ray dapat ditemukan:
  • Adanya Subluxatio dari kepala tulang paha (Caput Femoris)
  • Pinggir Cranial Acetabulum (bagian depan dari mangkok persendian) tampak datar.
  • Adanya pertumbuhan tulang baru di dalam Acetabulum, bagian belakang Acetabulum dan kepala serta leher tulang Femur
  • Adanya perubahan bentuk dari kepala/leher tulang Femur
  • Sudut Norberg Ollson berubah (<105o)

 

Tingkat keparahan yang tampak pada foto X’Ray

  • Ringan (Mild)

 

+Pinggir Cranial (depan) dari Acetabulum tampak datar

+Tampak adanya Subluxatio dari kepala tulang Femur, 40-50% masih ada di dalam Acetabulum

  • Agak parah (Moderate)

+Acetabulum dangkal

+Subluxatio dari kepala tulang Femur lebih parah, 20-40% dalam Acetabulum

+Timbul pertumbuhan tulang baru di sekitar persendian

  • Parah (Severe)

+Kepala tulang Femur sebagian besar atau seluruhnya keluar dari Acetabulum

+Banyak pertumbuhan tulang baru di sekitar persendian Coxo Femoralis

 

 

 

1a. Gambaran ventrodorsal persendian pinggul yang menderita Osteoarthritis parah.

1b. Gambaran ventrodorsal persendian pinggul yang menderita Osteoarthritis fase akhir.

2. Gambaran radiologi ventrodorsal gambar 1.

 

  • Untuk melakukan pembuatan foto X’Ray dari Hip, anjing harus diberi suntikan penenang (tranquilizer) terlebih dahulu dengan posisi terlentang (ventro dorsal).

Sudut Norberg Ollson diukur dengan membuat garis lurus dari pertengahan kepala tulang Femur kaki kiri dan kepala tulang Femur kaki kanan kemudian ditarik garis ke sudut bagian depan (Cranial) Acetabulum. Anjing yang normal sudut Norberg Ollson besarnya 105o.

 

Alat yang digunakan untuk membuat foto rontgen.

Alat yang digunakan untuk mengukur sudut Norberg Ollson

 

Pengobatan

Berhasil tidaknya pengobatan Hip Displasia tergantung dari tingkat keparahan Hip Displasia saat anjing itu dibawa pergi berobat ke dokter hewan. Pada kasus Hip Displasia yang sudah parah sulit untuk disembuhkan.

Ada 3 cara pengobatan

1.Pengobatan Konservatif – untuk anjing muda

  • Kontrol pertumbuhan dengan mengatur pemberian makanannya
  • Berikan pola exercise yang benar (jangan boleh lari akan tetapi diajak jalan santai dengan tali)
  • Berikan obat-obat suplemen yang mengandung glukosamin dan chondroitin
  • Berikan vit C yang cukup dan obat-obat anti radang non steroid

2.Operasi (Femoral Head Ostectomy)

Operasi pemotongan kepala tulang Femur ini hanya dilakukan pada anjing yang beratnya kurang dari 30 kg dan hewan tersebut betul-betul kesakitan bila menggunakan kakinya. Operasi sebaiknya dillakukan oleh dokter hewan yang sudah mempunyai pengalaman cukup untuk melakukan operasi ini, karena resikonya sangat besar.

 

Gambar. Gambaran radiologi ventrodorsal persendian pinggul pasca operasi Femoral Head Ostectomy (operasi dilakukan tahun 2007).

 

3.Penggantian persendian (Hip Replacement)

Operasi ini belum dapat dilakukan oleh dokter hewan Indonesia karena biaya penggantian persendian yang cukup mahal, komplikasinya tinggi dan memerlukan seorang dokter hewan yang betul-betul ahli.

 

Gambar. Gambaran radiologi ventrodorsal persendian pinggul pasca operasi Hip Replacement (operasi dilakukan tahun 2008).

 

Pencegahan

Sebaiknya anjing-anjing yang mau dilatih atau dikaryakan diperiksa kesehatannya secara cermat termasuk kondisi dari persendian Coxo Femoralisnya

Bilamana sudah terbukti pejantan atau induknya kedapatan menderita Hip Displasia sebaiknya tidak dibiakkan. Di beberapa negara maju, pemeriksaan DNA untuk mengetahui kasus hip displasia pada anjing-anjing yang akan dibiakkan sudah merupakan persyaratan.

 

 

Drh. C. Koesharyono – Praktisi Hewan Kecil

Jl. Wijaya Kusuma I/26, Comp. Dep Kes, Cilandak, Jkt 12450.

Telepon: 021-70632339, 021-7503740, 08551013970

 

Hip Displasia Dan Penanganannya
Ukuran: 162 x 230 px
Kirim ke teman Cetak Komentar
Penilaian Saya:
Artikel Sebelumnya:
Artikel Selanjutnya:

Suara Kita Terkini

Komentar Terakhir